轻巧灵便 游刃有余
X3便携式彩色多普勒超声诊断系统
X3便携式彩色多普勒超声诊断系统
广告
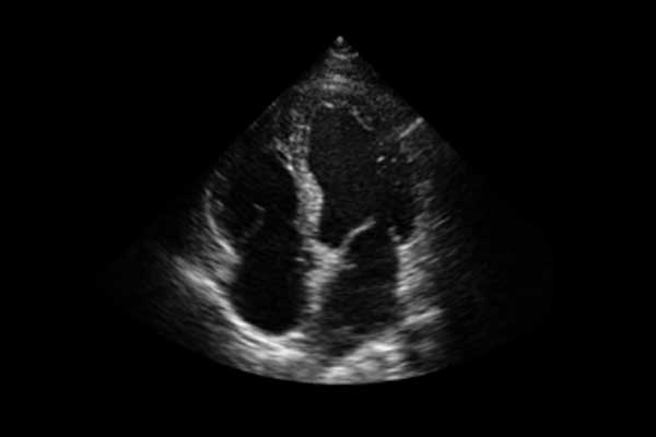
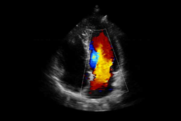
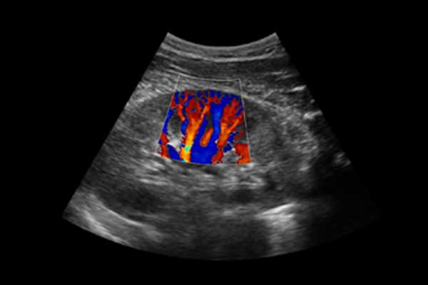
X3便携式彩色多普勒超声诊断系统是一款将小巧机身与卓越性能结合的便携产品。高度集成化的硬件模块,配合时尚前沿的人机工学设计打造了X3,如笔记本电脑般轻薄灵巧的机身、同时也赋予它突破体量限制的优异整机性能。轻便小巧,简单易用。图像清晰,X3可以随时随地满足您的使用需求。
重量轻
机身轻薄
开合角度大
快速开/待机响应
自适应亮度调节
完善的信息交互传输
一键自动优化
Auto IMT血管内中膜自动测量
PW自动包络测量
X3搭载了丰富的探头群,可全面满足腹部、泌尿系统、浅表器官、妇科、产科、心脏及外周血管等常规领域应用。轻薄灵巧的主机机身、人性化的台车设计、实用的三探头扩展器、使得它无论在超声科还是在移动诊疗应用中都可以轻松应对。
在外出急救、灾区支援以及运动场上,X3凭借着优异的移动性能、大容量的自带电源、快速的开机启动、简易的操作流,能够大大减轻户外携带的负担,同时快速响应,为户外急救及运动医学提供高效的诊疗帮助。
X3丰富的探头群、全面的穿刺套件以及简易的操作流,为手术室、疼痛医学、介入超声提供全面的临床诊疗方案。使超声医学为临床治疗提供诊断依据。
轻巧灵便、功能全面的设计理念,使得X3在ICU床旁、急诊科等多科室应用游刃有余,为临床提供快速准确图像的同时,大大减轻医生的工作强度。
禁忌内容或者注意事项详见说明书

微信公众号
0188-22223333
400-800-8820
版权所有 @db真人体育官网 苏ICP备20008866
互联网电子信息服务资格证书[(苏)-非经营性-2002-0888